Задача 1
Требуемые условия завершения

Просмотреть
Дать ответ на задание
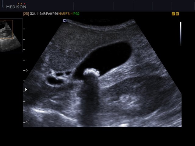
Прочитайте условие задачи. Рассмотрите эхограмму желчного пузыря. Опишите эхограмму и дайте ультразвуковое заключение.
Женщина, 43 года. Обратилась к гастроэнтерологу с жалобами на чувство переполнения эпигастральной области, иногда - тошноту в ответ на прием жирной пищи. При проведение УЗИ органов брюшной полости были замечены следующие очаговые изменения в желчном пузыре:
