Задача 3
Требуемые условия завершения
Просмотреть
Дать ответ на задание
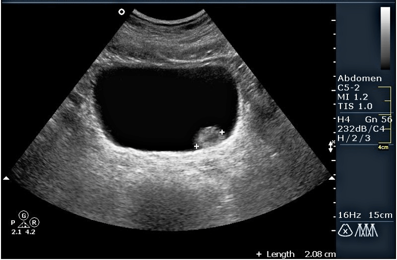
Прочитайте условие задачи. Рассмотрите эхограмму мочевого пузыря. Опишите эхограмму и дайте ультразвуковое заключение.
Мужчина, 73 года. Обратился к урологу с жалобами на учащенное мочеиспускание. При проведение УЗИ мочевого пузыря были замечено следующее очаговое изменение в мочевом пузыре:
