СРО Рентгеноанатомия 4 семестр 2025-2026 учебный год
Тематический план
-
Уважаемые обучающиеся!
Вы зачислены на электронный учебный курс для организации самостоятельной работы обучающихся, который создан в поддержку дисциплины «Рентгеноанатомия» (далее, соответственно, – ЭУК СРО или курс, СРО). С содержательной структурой данного курса можно ознакомиться в файле "Технологическая карта".
В информационно-организационном разделе содержится общая информация для участников курса, включая методические и иные документы, разработанные для обеспечения образовательного процесса в части выполнения внеаудиторной СРО при освоении дисциплины «Рентгеноанатомия».
Обращаем ваше внимание, что содержательно данный курс соответствует тематическому блоку СРО «Рентгеноанатомия» и предназначен для более углубленного освоения следующих модулей дисциплины – «Аномалии развития позвоночного столба», «Аномалии развития дыхательной системы», «Аномалии развития черепа и конечностей», соответственно.
ЭУК СРО состоит из трёх содержательных разделов, каждый из которых включает в себя три части – теоретическую, практическую и оценочную. В конце курса приведен обобщающий (интегральный) контрольный раздел по всему материалу содержательных разделов ЭУК СРО.
Срок выполнения СРО – в течение семестра. Студент обязан выполнить СРО до дня последнего занятия в текущем семестре.
По итогам последовательного прохождения всех представленных в данном курсе элементов формируется рейтинг самостоятельной работы обучающегося в рамках дисциплины (Rсро). Отсутствием текущей задолженности считается значение Rсро более 61 балла. Критерии оценки результатов выполнения СРО представлены в Порядке проведения аттестации по дисциплине «Рентгеноанатомия» для обучающихся по вашей образовательной программе на текущий учебный год.
-
-

-
Уважаемые обучающиеся!
В рамках прохождения теоретической части данного раздела ЭУК СРО вам необходимо прослушать видеолекцию "Аномалии развития позвоночного столба". Внимательно изучите предлагаемый теоретический материал к разделу, представленный в форме конспекта по изучаемой теме и глоссария.
По итогам изучения материалов теоретической части вам необходимо закрепить и углубить полученную информацию при работе с материалами практической части, а на завершающем этапе освоения содержательного раздела перейти к выполнению тестовых заданий оценочной части данного раздела -
В рамках прохождения практической части данного ЭУК СРО вам предлагается внимательно ознакомиться по нижеприведенной ссылке с видеороликом, файлами и материалами, предварительно изучив файл «Материал для работы при освоении практической части», содержащий материалы необходимые для освоения практических навыков.
По итогам изучения материалов практической части вам необходимо перейти к выполнению соответствующих тестовых заданий оценочной части данного раздела.-
Просмотреть Сделать попытки: 1 Получить оценку
-
Просмотреть Сделать попытки: 1 Получить оценку
-
Задания для оценивания материала раздела 1 включают в себя 35 вопросов, из них 25 заданий - с выбором одного правильного ответа, 10 заданий - на множественный выбор. Тест генерируется автоматически. Рекомендуемое время выполнения задания - 1 акад. час (45 минут)
-
Получить оценку
Обратите внимание, что время на выполнение теста и количество попыток ограничены
-
-

-
Уважаемые обучающиеся!
В рамках прохождения теоретической части данного раздела ЭУК СРО вам необходимо прослушать видеолекцию "Аномалии развития дыхательной системы". Внимательно изучите предлагаемый теоретический материал к разделу, представленный в форме конспекта и глоссария.
По итогам изучения материалов теоретической части вам необходимо закрепить и углубить полученную информацию при работе с материалами практической части, а на завершающем этапе освоения содержательного раздела перейти к выполнению тестовых заданий оценочной части данного раздела-
-
Просмотреть Внести записи: 1
-
В рамках прохождения практической части данного ЭУК СРО вам предлагается внимательно ознакомиться по нижеприведенной ссылке с видеороликом, файлами и материалами, предварительно изучив файл «Материал для работы при освоении практической части», содержащий материалы необходимые для освоения практических навыков.
По итогам изучения материалов практической части вам необходимо перейти к выполнению соответствующих тестовых заданий оценочной части данного раздела.-
Просмотреть Сделать попытки: 1 Получить оценку
-
Задания для оценивания материала раздела 2 включают в себя 34 вопроса, из них 23 задания - с выбором одного правильного ответа, 11 заданий - на множественный выбор. Тест генерируется автоматически. Рекомендуемое время выполнения задания - 1 акад. час (45 минут)
-
Просмотреть Получить оценку
-
-

-
Уважаемые обучающиеся!
В рамках прохождения теоретической части данного раздела ЭУК СРО вам необходимо прослушать видеолекцию "Аномалии развития черепа и конечностей". Внимательно изучите предлагаемый теоретический материал к разделу, представленный в форме видеолекции и глоссария.
По итогам изучения материалов теоретической части вам необходимо закрепить и углубить полученную информацию при работе с материалами практической части, а на завершающем этапе освоения содержательного раздела перейти к выполнению тестовых заданий оценочной части данного раздела -
В рамках прохождения практической части данного ЭУК СРО вам предлагается внимательно ознакомиться по нижеприведенной ссылке с видеороликом, файлами и материалами, предварительно изучив файл «Материал для работы при освоении практической части», содержащий материалы необходимые для освоения практических навыков.
По итогам изучения материалов практической части вам необходимо перейти к выполнению соответствующих тестовых заданий оценочной части данного раздела. -
Задания для оценивания материала раздела 2 включают в себя 34 вопроса, из них 23 задания - с выбором одного правильного ответа, 11 заданий - на множественный выбор. Тест генерируется автоматически. Рекомендуемое время выполнения задания - 1 акад. час (45 минут)
-
Просмотреть Получить оценку
-
-

-
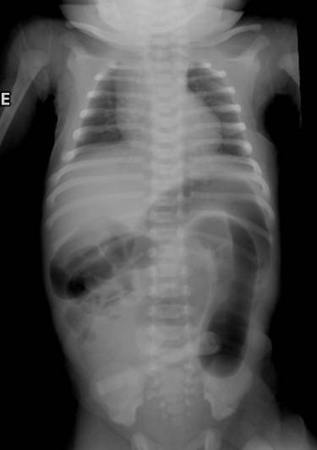
Уважаемые обучающиеся!
В рамках прохождения теоретической части данного раздела ЭУК СРО вам необходимо прослушать видеолекцию "Аномалии развития желудка и кишечника". Внимательно изучите предлагаемый теоретический материал к разделу, представленный в форме видеолекции и конспекта.
По итогам изучения материалов теоретической части вам необходимо закрепить и углубить полученную информацию при работе с материалами практической части, а на завершающем этапе освоения содержательного раздела перейти к выполнению тестовых заданий оценочной части данного раздела -
В рамках прохождения практической части данного ЭУК СРО вам предлагается внимательно ознакомиться по нижеприведенной ссылке с видеороликом, файлами и материалами, предварительно изучив файл «Материал для работы при освоении практической части», содержащий материалы необходимые для освоения практических навыков.
По итогам изучения материалов практической части вам необходимо перейти к выполнению соответствующих тестовых заданий оценочной части данного раздела. -
Задания для оценивания материала раздела 2 включают в себя 34 вопроса, из них 23 задания - с выбором одного правильного ответа, 11 заданий - на множественный выбор. Тест генерируется автоматически. Рекомендуемое время выполнения задания - 1 акад. час (45 минут)
-
Просмотреть Получить оценку
-
-
Контрольный раздел является завершающим интегральным элементом ЭУК СРО при освоении дисциплины «Рентгенанатомия» и включает в себя ранее пройденные тестовые задания оценочных частей или их аналоги по всему материалу содержательных разделов курса. Условием допуска к его прохождению является выполнение обучающимся всех предшествующих элементов курса, включая набор проходного балла (не менее 61/3,0) за пройденные тесты оценочной части каждого из представленных содержательных разделов.
Контрольный раздел считается успешно пройденным, а курс освоенным при наборе обучающимся минимального порогового значения - 61 балл по 100-балльной системе (соответствует 3,00 по 5-балльной системе).
Каждому обучающемуся достается индивидуальный вариант по 30 тестовых заданий в каждом, из них: 20 заданий - с множественным выбором; 10 заданий - на сопоставление, множественный выбор. Рекомендуемое время выполнения задания: 45 минут (1 акад. час).-
Открыто с: Суббота, 1 февраля 2025, 11:00Закрыто c: Суббота, 28 июня 2025, 11:00
-