СР Особенности метаболизма лейкоцитов
Клиническое значение определения лейкоцитов
Клиническое значение определения лейкоцитов
Состояние, при котором количество лейкоцитов в крови становится менее 4000 в 1 мкл, называется лейкопенией. Чаще всего лейкопения обусловлена снижением количества нейтрофилов в крови — нейтропенией. Причины лейкопении разнообразны. Лейкопения может развиваться под действием ионизирующего излучения, ряда химических веществ (бензола, соединений мышьяка, ДДТ), некоторых лекарственных препаратов (цитостатические препараты, антитиреоидные агенты, ряд антибиотиков).
Повышение содержания лейкоцитов в крови до 10 000 и более в мкл известно как лейкоцитоз. Резкое повышение уровня лейкоцитов до 20 000 в мкл крови называют гиперлейкоцитозом.
Как правило, лейкоцитоз связан с увеличением количества нейтрофилов. Повышение содержания нейтрофилов в крови происходит как при нормальных физиологических реакциях (стресс, приём пищи и другие), так и при патологических процессах: инфекциях, интоксикациях, появлении злокачественных новообразований и других.
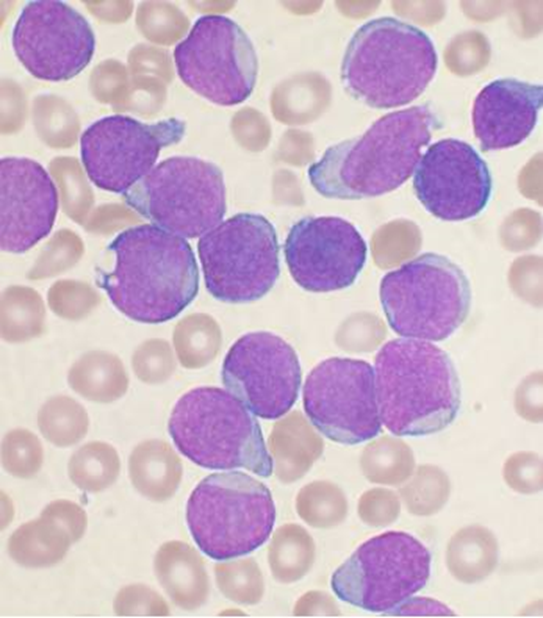
Чрезмерная пролиферация лимфоидных клеток происходит при таких неоплазиях, как фолликулярная лимфома, хронический лимфолейкоз, острый лимфобластный лейкоз и миеломная болезнь.

Мазок костного мозга пациента с B-клеточным острым лимфобластным лейкозом